Skip to content Skip to sidebar Skip to footer

Karies Unter Krone Geruch

Leistungen

Leistungen

Karies unter krone geruch. Karies im Randbereich ist die häufigste Ursache für dieses Problem. Dazu gehören zum Beispiel Karies fortschreitender Faulprozess aber auch schwarzer Tee Nikotin und Kaffee sowie der Konsum von säurehaltigen Getränken und Obst sowie Lebensmitteln die Säure beinhalten Um einen Zahn mit einer Krone. Ebenso kann ein strenger Geruch der Zahnseide auf Karies hinweisen oder eine Entzündung am Wurzelkanal eines Zahnes.

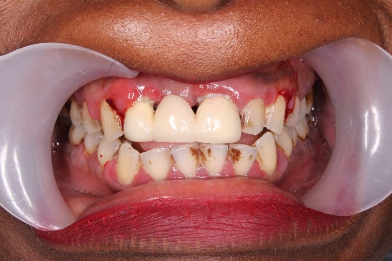
Die Krone an sich kann zwar nicht von Karies und Entzündungen befallen werden aber das Gewebe unter und um die Krone herum ist nach wie vor gefährdet. Eine Umfrage zeigt dass 484 Prozent der Befragten häufig unter Karies leidet. Auch unter der Krone oder am Kronenrand kann sich durch Bakterien insbesondere bei mangelnder Zahnhygiene eine.

Karies also das sogenannte Loch im Zahn entsteht durch einen Demineralisierungsprozess. Der Karies unter der Krone könnte ein Grund sein. Keine Schmerzen bei Karies unter einer Zahnkrone.

Viele Kariesbetroffene glauben mit einer Krone sei der Zahn für immer vor Bakterienangriffen geschützt. Als Instrumente werden ein Zahnspiegel und eine Sonde verwendet. In diesem Fall ist eine erneute Prothese notwendig.

Karies unter der Zahnkrone verursacht bei der Einnahme kalter oder warmer Speisen starke Schmerzen. Obwohl keine Karies war wäre dennoch bei Ihrem Zahn die Vitalität zu prüfen und auch ob alle anderen Zähne noch in Ordnung sind. Es ist schwieriger die Zerstörung in benachbarten Hohlräumen der Zähne oder unter der Füllung einer Krone zu bestimmen.

Die in der Mundhöhle lebenden Kariesbakterien ernähren sich von Kohlehydraten besonders von Zucker und verstoffwechseln diesen. Was kann die Ursache dafür sein. Ursache Symptome und Behandlung.

Selbst 3-4 Stunden nach einer intensiven Reinigung mit Zahnseide und Zwischenraumbürste ist dieser faulige Geruch unter der Krone wieder da. Welche der genannten Ursachen nun für den Geruch der Zahnseide verantwortlich ist kann nur der Zahnarzt feststellen.

Pulpanekrose

Pulpanekrose

Mit Und Ohne Kofferdam Der Unterschied Endodontie Dr Eggert

Mit Und Ohne Kofferdam Der Unterschied Endodontie Dr Eggert

Karies Unter Kronen Zahnnotizen

Karies Unter Kronen Zahnnotizen

Zahnseide Richtig Benutzen 5 Experten Tipps Zur Richtigen Anwendung Gelencser Dental Magazin

Zahnseide Richtig Benutzen 5 Experten Tipps Zur Richtigen Anwendung Gelencser Dental Magazin

Dr Dt Mustafa Bas Zirkonzahn

Dr Dt Mustafa Bas Zirkonzahn

Hygiene Wie Man Fauligen Mundgeruch Loswird Welt

Hygiene Wie Man Fauligen Mundgeruch Loswird Welt

Karies An Kronenstumpf Zahnnotizen

Karies An Kronenstumpf Zahnnotizen

Vergleich Mit Alternativen Zahnspezialisten Im Zentrum

Vergleich Mit Alternativen Zahnspezialisten Im Zentrum

Tiefe Zahnfleischentzundung Dental Team Dr Hajto Munchen

Tiefe Zahnfleischentzundung Dental Team Dr Hajto Munchen

Toter Zahn Focus Arztsuche

Toter Zahn Focus Arztsuche

Hygiene Wie Man Fauligen Mundgeruch Loswird Welt

Hygiene Wie Man Fauligen Mundgeruch Loswird Welt

Entzundung Unter Der Zahnkrone Was Tun 360 Zahn De

Entzundung Unter Der Zahnkrone Was Tun 360 Zahn De

Zahnseide Stinkt Nach Benutzung Daran Kann S Liegen Focus De

Zahnseide Stinkt Nach Benutzung Daran Kann S Liegen Focus De

Hygiene Wie Man Fauligen Mundgeruch Loswird Welt

Hygiene Wie Man Fauligen Mundgeruch Loswird Welt

Patientenfalle Vorher Nachher Dental Team Dr Hajto Munchen

Patientenfalle Vorher Nachher Dental Team Dr Hajto Munchen

Was Ist Sekundarkaries Karies Unter Der Zahnkrone Youtube

Was Ist Sekundarkaries Karies Unter Der Zahnkrone Youtube

Entzundung Unter Der Zahnkrone

Entzundung Unter Der Zahnkrone

Patientenfalle Vorher Nachher Dental Team Dr Hajto Munchen

Patientenfalle Vorher Nachher Dental Team Dr Hajto Munchen

Web Dent Zirkonzahn

Web Dent Zirkonzahn

Wissenschaftliches

Wissenschaftliches

Patientenfalle Vorher Nachher Dental Team Dr Hajto Munchen

Patientenfalle Vorher Nachher Dental Team Dr Hajto Munchen

Implantate Und Halitosis Gibt Es Einen Zusammenhang Fachgebiete Zmk Aktuell De

Implantate Und Halitosis Gibt Es Einen Zusammenhang Fachgebiete Zmk Aktuell De

Sekundarkaries Dental Blogdental Blog

Sekundarkaries Dental Blogdental Blog

1

1

Sekundarkaries Das Unbekannte Risiko Unter Der Krone Zwp Online Das Nachrichtenportal Fur Die Dentalbranche

Sekundarkaries Das Unbekannte Risiko Unter Der Krone Zwp Online Das Nachrichtenportal Fur Die Dentalbranche

Symptome Bei Karies

Symptome Bei Karies

Mundgeruch Das Zahnfleisch Riecht Faulig Es Stinkt

Mundgeruch Das Zahnfleisch Riecht Faulig Es Stinkt

Loch Im Zahn Behandlung Ohne Schmerzen Centrocc Dental

Loch Im Zahn Behandlung Ohne Schmerzen Centrocc Dental

Faq Mundgesundheit Zahn De

Faq Mundgesundheit Zahn De

Zahne Sekundarkaries Bleibt Oft Unentdeckt

Zahne Sekundarkaries Bleibt Oft Unentdeckt

Wurzelbehandelter Zahn Abgebrochen Was Tun Dentalplanet

Wurzelbehandelter Zahn Abgebrochen Was Tun Dentalplanet

Zahnkronen Ecdi

Zahnkronen Ecdi

Zahnwurzelentzundung Symptome Und Behandlungsmoglichkeiten

Zahnwurzelentzundung Symptome Und Behandlungsmoglichkeiten

Zahnzwischenraum Karies Erkennen Entfernen Vorbeugen Jameda

Zahnzwischenraum Karies Erkennen Entfernen Vorbeugen Jameda

Karies Ursachen Symptome Behandlung

Karies Ursachen Symptome Behandlung

Zahnfullung Karies Ursachen Symptome Behandlung Jameda

Zahnfullung Karies Ursachen Symptome Behandlung Jameda

Karies So Sind Sie Optimal Gegen Die Faulnis Gewappnet Dentolo

Karies So Sind Sie Optimal Gegen Die Faulnis Gewappnet Dentolo

Zahnpflege Bei Zahnersatz Blog Zahnputzladen

Zahnpflege Bei Zahnersatz Blog Zahnputzladen

Zahnkronen Ecdi

Zahnkronen Ecdi

Zahnkrone

Zahnkrone

Hygiene Wie Man Fauligen Mundgeruch Loswird Welt

Hygiene Wie Man Fauligen Mundgeruch Loswird Welt

Karies Als Ursache Fur Zahnschmerzen Dr Schweikart Verlag

Karies Als Ursache Fur Zahnschmerzen Dr Schweikart Verlag

Karies Apotheken Umschau

Karies Apotheken Umschau

Karies Als Ursache Fur Zahnschmerzen Dr Schweikart Verlag

Karies Als Ursache Fur Zahnschmerzen Dr Schweikart Verlag

Oxidation Von Zahnkronen So Beeinflussen Sie Atzende Veranderungen In Zahnarztlichen Legierungen Die Zur Herstellung Von Kronen Zur Menschlichen Gesundheit Verwendet Werden

Oxidation Von Zahnkronen So Beeinflussen Sie Atzende Veranderungen In Zahnarztlichen Legierungen Die Zur Herstellung Von Kronen Zur Menschlichen Gesundheit Verwendet Werden

W Fauliger Geschmack Durch Zahnkrone Zahn Stinkt Unter Krone

W Fauliger Geschmack Durch Zahnkrone Zahn Stinkt Unter Krone

Oxidation Von Zahnkronen So Beeinflussen Sie Atzende Veranderungen In Zahnarztlichen Legierungen Die Zur Herstellung Von Kronen Zur Menschlichen Gesundheit Verwendet Werden

Oxidation Von Zahnkronen So Beeinflussen Sie Atzende Veranderungen In Zahnarztlichen Legierungen Die Zur Herstellung Von Kronen Zur Menschlichen Gesundheit Verwendet Werden

Faule Zahne Ursachen Folgen Behandlung Dentalwissen

Faule Zahne Ursachen Folgen Behandlung Dentalwissen

Https Encrypted Tbn0 Gstatic Com Images Q Tbn And9gcshfpy2ac6zprpnndowt Eltdshavmr3fe1m01txswgzvfva2ey Usqp Cau

Https Encrypted Tbn0 Gstatic Com Images Q Tbn And9gcshfpy2ac6zprpnndowt Eltdshavmr3fe1m01txswgzvfva2ey Usqp Cau

Auch unter der Krone oder am Kronenrand kann sich durch Bakterien insbesondere bei mangelnder Zahnhygiene eine.

Zahn unter krone schwarz. Doch das ist ein Irrtum. Eine tiefe Karies kann leicht diagnostiziert werden da dies ausreicht um Patienten zu beschweren und visuell zu untersuchen. Ursachen Symptome Behandlun. Keine Schmerzen bei Karies unter einer Zahnkrone. Die Säure hat an diesen Stellen die Zahnoberfläche demineralisiert. Stefan Zimmer Sprecher der Informationsstelle für Kariesprophylaxe und Lehrstuhlinhaber für Zahnerhaltung und Präventive Zahnmedizin an der Universität WittenHerdecke. Selbst 3-4 Stunden nach einer intensiven Reinigung mit Zahnseide und Zwischenraumbürste ist dieser faulige Geruch unter der Krone wieder da. Diese breitet sich schnell aus und verursacht einen unangenehmen pulsierenden Schmerz bei dem man sobald wie möglich einen.


Keine Schmerzen bei Karies unter einer Zahnkrone. Die in der Mundhöhle lebenden Kariesbakterien ernähren sich von Kohlehydraten besonders von Zucker und verstoffwechseln diesen. Schmerzen unter einer Krone sind meist ein Zeichen dafür dass mit dem definitiven Zahnersatz etwas nicht stimmt und dieser erneuert werden muss. Er kann vor allem das Problem beheben. Auch unter der Krone oder am Kronenrand kann sich durch Bakterien insbesondere bei mangelnder Zahnhygiene eine sogenannte Sekundärkaries entwickeln. Eine Umfrage zeigt dass 484 Prozent der Befragten häufig unter Karies leidet. Doch das ist ein Irrtum.

Post a Comment for "Karies Unter Krone Geruch"